Răng toàn sứ
Việc chọn bọc răng sứ để có hàm răng đều và trắng sáng là một sự lựa chọn phổ biến hiện nay. Tại những nha khoa uy tín, các nha sĩ thường khuyên bạn nên chọn răng toàn sứ.
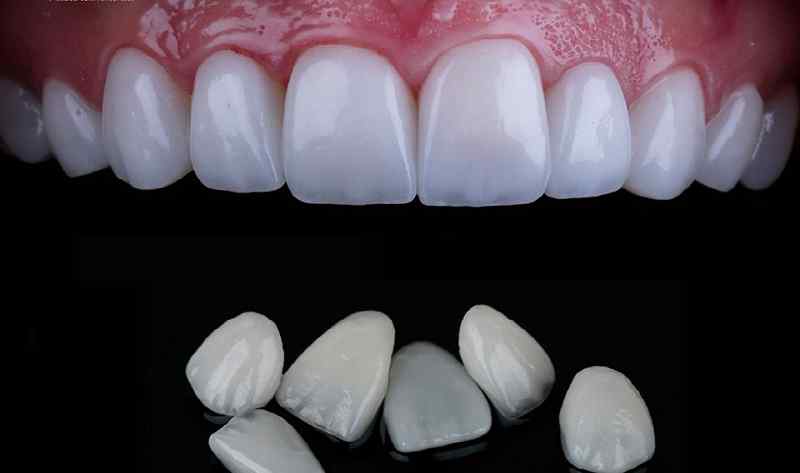
Mặt dán sứ Non-prep Veneer không cần mài răng là phương pháp phục hình thẩm mỹ tiên tiến, giúp loại bỏ hoàn toàn tình trạng răng cũ và mang lại vẻ đẹp mới cho hàm răng của bạn.
Nếu răng bạn có khuyết điểm như thưa, hở kẽ và bạn muốn nhanh chóng cải thiện mà không cần mài răng do lo ngại về đau đớn và khó chịu, thì mặt dán sứ Non-prep Veneer không mài răng sẽ là lựa chọn lý tưởng để tái tạo lại nụ cười của bạn.
Công nghệ mặt dán sứ Non-prep Veneer không mài răng đảm bảo rằng trong quá trình thực hiện, bác sĩ không làm mài hoặc xâm lấn mô răng thật, giảm thiểu tối đa cảm giác ê buốt và đau nhức kéo dài. Đây là một kỹ thuật đòi hỏi tay nghề cao từ bác sĩ và trang thiết bị hiện đại đạt tiêu chuẩn. Hiện nay, phương pháp này chưa phổ biến ở Việt Nam do số lượng nha khoa đáp ứng đủ tiêu chuẩn còn hạn chế.

Để thuận tiện cho việc điều trị, mặt dán sứ veneer không mài răng được phân thành các loại khác nhau, trong đó có:

Mặt dán sứ Non-prep kế thừa những lợi ích của dán sứ Veneer truyền thống và còn có thêm các điểm nổi bật như:
Thông thường, mọi người chọn mặt dán sứ Non-prep Veneer để điều trị và khắc phục các vấn đề liên quan đến răng.

Để biết bạn có đủ điều kiện thực hiện dán sứ hay không, nên chọn các phòng khám nha khoa đáng tin cậy và nhận được nhiều phản hồi tích cực từ khách hàng. Nếu bạn đang tìm hiểu về dịch vụ bọc răng sứ nhưng chưa rõ loại nào phù hợp và giá cả ra sao, hãy đến thăm trực tiếp phòng khám của Nha khoa Ysmile để bác sĩ khám và tư vấn miễn phí.
Để biết thêm thông tin về dịch vụ tại Nha Khoa Ysmile quý khách vui lòng gửi tin nhắn trực tiếp cho chúng tôi. Hoặc để nhanh chóng hơn, hãy gọi ngay số Hotline 0916 363 748 để được tư vấn.
Phương pháp dán sứ Veneer được coi là cách “làm mới” nụ cười, giúp bạn tăng cường sự tự tin với vẻ ngoài trắng sáng và đồng thời vẫn duy trì khả năng ăn nhai cũng như giảm thiểu nguy cơ ảnh hưởng đến mô răng tự nhiên.
Việc chọn bọc răng sứ để có hàm răng đều và trắng sáng là một sự lựa chọn phổ biến hiện nay. Tại những nha khoa uy tín, các nha sĩ thường khuyên bạn nên chọn răng toàn sứ.
Răng sứ kim loại được coi là một trong những loại răng sứ được sản xuất và sử dụng trong ngành nha khoa. Nó giúp khắc phục các vấn đề như: răng bị sâu, răng xỉn màu, răng bị mẻ lớn không thể trám lại, hay răng hô móm nhẹ do vấn đề của răng chứ không phải hàm.

Address 1: G-R2 Tầng Trệt, Tòa Nhà Ruby 2, Sài Gòn Pearl, Số 92 Nguyễn Hữu Cảnh, P. 22, Q. Bình Thạnh, TP HCM
Address 2: Shophouse số 26 Masteri An Phú,
số 1 Võ Trường Toản, P. Thảo Điền, TP. Thủ Đức, TP.HCM
Address 1: G-R2 Tầng Trệt, Tòa Nhà Ruby 2, Sài Gòn Pearl,
Số 92 Nguyễn Hữu Cảnh, P.22, Q.Bình Thạnh, HCM
Address 2: Shophouse số 26, Masteri An Phú,
Số 1 Võ Trường Toản, P.Thảo Điền, TP.Thủ Đức, HCM
| 0903 088 499 (Ruby Tower) | |
| 0842 209 402 (Masteri An Phu Tower) | |
| WhatsApp: +848422 09402 | |
| Email: ysmiles.vn@gmail.com | |
| MST: 0316912210 |
Điện thoại: 0842.209.402
Email: ysmiles.vn@gmail.com
Website: https://ysmile.vn/
* Lưu ý:
Cảm ơn bạn đã để lại thông tin